
检验前沿
- 重磅级文章揭开神秘的“记忆”面纱!
-
大脑记忆,对于我们每个人来说都是一种非常神奇的经历,近些年来,科学家们通过大量研究揭开了大脑记忆的奥秘,本文中,小编就对相关研究进行整理,分享给大家!【1】Science:新研究支持记忆索引理论doi:10.1126/s ...
-
2018-9-26 14:36
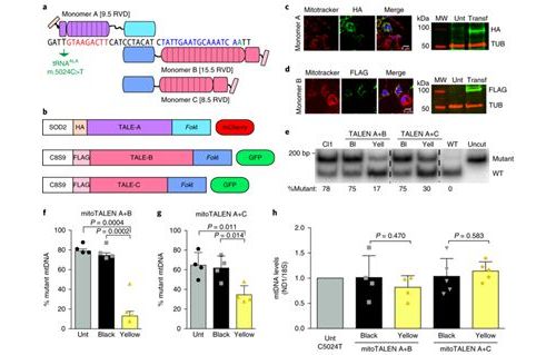
- 重磅!两篇Nature Medicine开发出对线粒体DNA进行基因编辑的MitoTALEN和mtZFN
-
2018年9月26日/生物谷BIOON/---在两项新的研究中,来自美国和和欧洲的研究人员使用两种基因编辑方法来校正活小鼠中的线粒体突变。相关研究结果于2018年9月24日在线发表在Nature Medicine期刊上,论文标题分别为“Mit ...
-
2018-9-26 14:33
- IJCAET:新技术准确区分出乳腺癌组织
-
图片来源:Cancer Research现在来自印度的研究人员开发出了一种新技术用于区分乳腺组织中的异常信号,他们使用了一种基于灰度共生矩阵(Gray-level Co-occurrence Matrix,GLCM,又叫灰度共现矩阵:像素灰度在空间位 ...
-
2018-9-25 16:57
- Cell:一种非典型病毒可导至某些肾脏疾病
-
2018年9月24日/生物谷BIOON/---在一项新的研究中,来自多个研究机构的研究人员发现一种之前未知的病毒起着作为某些肾脏疾病---间质性肾病(interstitial nephropathy)---的“驱动因素”的作用。这种“非典型”病毒 ...
-
2018-9-25 16:56
- 儿童白血病又添新病因 母亲用药要谨慎!
-
作者:叶枫红儿童白血病发病原因前段时间阿里员工王某租住自如房子得白血病的文章占据各大新闻头条,文中称王某在租住自如房子后患急性髓系白血病离世,其妻子认为房内甲醛浓度超标是造成王某患病的主要原因。多年来 ...
-
2018-9-25 16:48
- 2018全球医疗器械公司TOP10榜单
-
每年Medical DesignOutsourcing网站都会根据各公司的金融监管机构备案文件以及在医疗器械业务方面的营收情况进行全球100大医疗器械公司的排名。近日该网站发布了2018年全球医疗器械公司TOP100榜单。与往年榜单相比, ...
-
2018-9-25 00:00
- 荧光?血糖?FRET技术新进展了解一下
-
近几十年,糖尿病的患病率逐年攀升,糖尿病在世界各地都正成为日益严重的公共健康问题。在我国,目前糖尿病患者已达1亿,一场“甜蜜危机”正在向我们袭来。而对于糖尿病患者来说,定期监测血糖水平是非常重要的,也 ...
-
2018-9-25 00:00
- 罗氏诊断新一代cobas EGFR突变检测在华获批上市
-
近日,全球体外诊断领域的领导者罗氏诊断宣布,其新一代cobas EGFR突变检测(cobasEGFRMutation Test v2)在华正式上市。该检测已获得中国食品药品监督总局批准用于非小细胞肺癌(NSCLC)肿瘤组织样本中表皮生长因子 ...
-
2018-9-20 15:04
- Clin Cancer Res:新型的遗传标记或有望实现早期诊断恶性的前列腺癌
-
2018年9月19日 讯 /生物谷BIOON/ --近日,一项刊登在国际杂志Clinical Cancer Research上的研究报告中,来自图尔库大学的科学家们通过研究发现了HOXB13和CIP2A基因自发性遗传改变的相互作用、恶性前列腺癌、疾病高风 ...
-
2018-9-20 15:00
- 艰难梭菌凭何在肠道中横行霸道?
-
艰难梭菌是引发全球大部分抗生素相关腹泻爆发的罪魁祸首,近日,一项刊登在国际杂志PLoS Pathogens上的一篇研究报告中,来自伦敦卫生与热带医学院的科学家们通过研究发现,艰难梭菌能够产生一种名为对甲酚(p-cresol ...
-
2018-9-20 00:00
关闭 官方推荐
/3